Foram encontradas 80 questões.
“Paciente, 34 anos, sexo feminino, será submetida à cirurgia para correção de síndrome de Cushing. Em exame de imagem foi evidenciado tumor de 20 mm, sem invasão de dura-máter, com invasão de seio cavernoso. Paciente com sintomas de insuficiência adrenal secundária há três meses.”
Considerando as características apresentadas, qual é o fator de bom prognóstico para a cirurgia?
Provas
“Paciente, sexo feminino, 36 anos, com queixa de fogachos. Refere última menstruação há um ano. Último parto em 2017, com ciclos regulares após. Refere, ainda, ser portadora de artrite reumatoide há cinco anos, em uso de metotrexato 30 mg/semanal. Exames: FSH 107; LH 78; E2 < 0,02; TSH 1,4; Prolactina 15; e, BHCG neg.”
O tratamento com 17-beta-estradiol ou valerato de estradiol deve ser realizado na seguinte dosagem inicialmente:
Provas
“Paciente, sexo feminino, 36 anos, com queixa de fogachos. Refere última menstruação há um ano. Último parto em 2017, com ciclos regulares após. Refere, ainda, ser portadora de artrite reumatoide há cinco anos, em uso de metotrexato 30 mg/semanal. Exames: FSH 107; LH 78; E2 < 0,02; TSH 1,4; Prolactina 15; e, BHCG neg.”
Marque V para as afirmativas verdadeiras e F para as falsas.
( ) Não há indicação formal de solicitação de cariótipo.
( ) O uso prolongado de metotrexato aumenta o risco de falência ovariana prematura.
( ) A idade da menarca está linearmente ligada à idade da menopausa.
( ) A paciente apresenta risco aumentado para osteoporose e eventos cardiovasculares no futuro.
A sequência está correta em
Provas
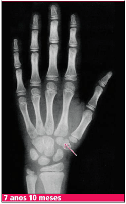
Paciente, sexo feminino, 5 anos e 3 meses, comparece à consulta por aparecimento de broto mamário. Mãe percebeu que nos últimos três meses houve crescimento de mamas. Refere que na escola é a criança mais alta da turma. Foi realizado Raio X de mãos e punhos para correlação da idade óssea com idade cronológica, com o seguinte resultado:

Qual o marco anatômico indicado para a identificação da idade óssea apresentada?
Provas
A expressão dos transportadores de glicose nos tecidos está ligada aos seus diferentes metabolismos; conforme a demanda e a utilização, quantidade de transportadores poderá variar. Cada grupo de transportadores possui propriedades cinéticas únicas, caracterizando suas funções e sua distribuição por diversos tecidos. Considerando o tipo de receptor e o tecido no qual ele é encontrado, relacione adequadamente as colunas a seguir. (Alguns números poderão se repetir e outros poderão não ser utilizados.)
1. GLUT 1.
2. GLUT 2.
3. GLUT 3.
4. GLUT 4.
( ) Tecido fetal.
( ) Neurônio.
( ) Barreira hematoencefálica.
( ) Rim.
( ) Músculo cardíaco.
A sequência está correta em
Provas
“ é uma doença causada por defeito em receptor de uma ‘substância’ que atravessa a membrana celular e faz a modulação de expressão gênica pela ligação direta do DNA ao complexo receptor-substância.” Assinale a alternativa que completa corretamente a afirmativa anterior.
Provas
Paciente retorna com os seguintes exames: FSH 59; LH 40; E2 < 0,5; 17-alfa-OH-P 110. USG: Útero volume 15 cc; Ovários não visibilizados. Cariótipo 46 XY. RNM de sela túrcica: hipófise de aspecto e tamanho habituais. Qual o provável diagnóstico?
Provas
Qual exame deverá ser o primeiro a ser solicitado nesse caso?
Provas
De acordo com o Novo Código de Ética Médica, quanto aos princípios fundamentais, assinale a afirmativa correta.
Provas
Considerando o que dispõe o Novo Código de Ética Médica, aprovado pela Resolução CFM nº 2.217/2018, modificada pelas Resoluções CFM nº 2.222/2018 e 2.226/2019, assinale a afirmativa correta.
Provas
Caderno Container