Foram encontradas 238 questões.
“É indispensável que o Brasil tenha uma educação física de qualidade nas escolas.”
(Carta Brasileira de Educação Física. Belo Horizonte, 2000.)
Segundo os referenciais éticos, profissionais e pedagógicos que regem a educação física escolar no Brasil, assinale a alternativa que NÃO se configura como uma prática coerente e correta para o desenvolvimento das diversas formas de expressão de atividade física:
Provas
Sobre a história da educação física no Brasil, leia o trecho a seguir.
“... ao professor de educação física compete, pois (e não há exagero algum nesta afirmativa), dirigir e orientar os exercícios de modo que influam enérgica e eficazmente sobre cada organismo, ordená-los em série gradual, harmonizá-los com o período de evolução orgânica, incutindo o prazer ou, ao menos, evitando o tédio, e constatar, enfim, pelos processos vários de mensurações corporais, os resultados de seu ensino, fazer, uma palavra, o registro de benefícios que provieram dos exercícios e dos inconvenientes que determinaram...”
(Fernando de Azevedo, 1920.)
Extraindo-se algumas expressões que caíram em desuso, a citação que foi extraída de um artigo de Fernando de Azevedo nos anos 20 do século passado, traz em si semelhanças com o entendimento ainda hoje presente em nosso meio, que extrapolam quaisquer possibilidades de serem vistas como meras coincidências. A educação física brasileira vê-se hegemonicamente vinculada, ainda, como no trecho apresentado, ao eixo paradigmático do(a):
Provas
Elaborada por Mauro Betti no início dos anos 90, a concepção pedagógica, conhecida por Sistêmica, faz uso de influências de áreas como: sociologia, filosofia e até da psicologia para propor um sistema hierárquico aberto de planejamento, em que as Secretarias de Educação e Propostas Governamentais como, por exemplo, os Parâmetros Curriculares Nacionais exerçam um menor controle sobre o planejamento de ensino do professor. Segundo Betti (1991), os dois princípios mais importantes para reger um trabalho escolar sobre a disciplina de educação física são:
Provas
As características a seguir se referem a uma importante abordagem pedagógica da educação física escolar; analise-as:
- opositora ao modelo mecanicista;
- utiliza-se do discurso da justiça social como ponto de apoio;
- baseia-se no marxismo e no neomarxismo;
- levanta questões de poder, interesse, esforço e contestação; e,
- sugere evitar o ensino por etapas, adotando a simultaneidade na transmissão dos conteúdos.
As características anteriores se referem à abordagem pedagógica denominada:
Provas
Com o avanço das técnicas, equipamentos e instrumentais, cada vez menos vem sendo necessária a realização de técnicas cirúrgicas endodônticas. Porém, algumas situações requerem esse tipo de abordagem. São consideradas indicações para esse tipo de cirurgia, EXCETO:
Provas
O cimento de fosfato de zinco é bastante antigo, de coloração branco-opaca, apresentado comercialmente na forma de pó e líquido. O pó é composto basicamente por óxido de zinco, e o líquido é uma solução aquosa de característica ácida (ácido fosfórico). A relação de presa do cimento ocorre após a incorporação do pó ao líquido (mistura) e a espatulação do material. Nesse sentido, assinale a alternativa correta.
Provas
Observe a imagem a seguir.

(Malamed, 2013.)
Sobre a técnica anestésica mostrada na figura é correto afirmar que:
Provas
Analise as situações descritas a seguir.
I. Fazer propaganda como especialista após o término do curso de especialização e antes do registro da especialidade no Conselho Regional.
II. Revelar de fato sigiloso ao responsável do incapaz.
III. Receitar, atestar, declarar ou emitir laudos, relatórios e pareceres técnicos de forma ilegível.
É infração ao código de ética odontológico a(s) alternativa(s)
Provas
Devido ao medo e a possíveis experiências desagradáveis anteriores, a realização de anestesias em crianças requer experiência e atenção. Além disso, podem existir também algumas variações anatômicas quando comparada com os adultos. Em relação a essas variações em crianças e à aplicação da técnica de bloqueio do nervo alveolar inferior, assinale a alternativa correta.
Provas
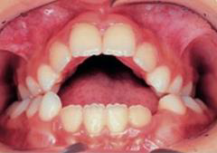
Observe a imagem a seguir.

(Janson et al, 2013.)
O diagnóstico ortodôntico desse paciente é:
Provas
Caderno Container