Foram encontradas 590 questões.
Segundo as diretrizes brasileiras de hipertensão arterial, entre os fenótipos de apresentação a forma mais comum de hipertensão é:
Provas
Na atualização da Diretriz de Ressuscitação Cardiopulmonar e Cuidados Cardiovasculares de Emergência da Sociedade Brasileira de Cardiologia de 2019, qual das alternativas a seguir é uma indicação de desfibrilação classe de recomendação I?
Provas
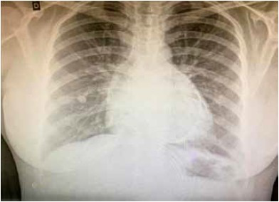
Considere o caso clínico a seguir, para responder à questão.
Paciente do sexo feminino, 43 anos, procura o pronto-socorro com queixa de dor torácica há 1 semana, do tipo pontada, retroesternal, sem irradiação e de caráter progressivo e contínuo, evoluindo com dispneia aos esforços há 2 dias. Sem comorbidades prévias e sem uso de medicações contínuas. Realizou a radiografia de tórax a seguir.

Durante a investigação clínica, qual alteração ecocardiográfica será encontrada no diagnóstico?
Provas
Considere o caso clínico a seguir, para responder à questão.
Paciente do sexo feminino, 43 anos, procura o pronto-socorro com queixa de dor torácica há 1 semana, do tipo pontada, retroesternal, sem irradiação e de caráter progressivo e contínuo, evoluindo com dispneia aos esforços há 2 dias. Sem comorbidades prévias e sem uso de medicações contínuas. Realizou a radiografia de tórax a seguir.

Ao exame físico, qual sinal clínico pode ser encontrado diante da suspeita clínica?
Provas
Paciente idoso, sexo masculino, 83 anos, portador de arritmia cardíaca há 30 anos, em uso de varfarina. Realizou o eletrocardiograma ilustrado a seguir no retorno ambulatorial.

Segundo as evidência científicas e diretrizes internacionais para prevenção de eventos tromboembólicos, a opção de classe terapêutica neste caso é:
Provas
Paciente de 43 anos, sexo feminino, portadora de obesidade grau 2, evoluindo com resistência insulínica, em uso de semaglutida 1 mg/semana há 6 meses. Em programação de realização de endoscopia digestiva alta para investigação de refluxo gastroesofágico por queixa de pirose. Qual orientação está aplicada no periprocedimento?
Provas
Considere o caso clínico a seguir, para responder à questão.
Paciente de 64 anos, sexo masculino, portador de diabetes melitus há 32 anos, Hipertensão arterial, dislipidemia e Doença arterial coronariana crônica com infarto agudo do miocárdio há 11 anos, com angioplastia de resgate com 36h do evento agudo. Em uso de Metformina 1 000 mg 2x/dia, linagliptina 5 mg/dia, Atorvastatina 40 mg/dia, Losartana 50 mg 2x/dia, Clortalidona 25 mg/dia, AAS 100 mg/dia. Durante consulta ambulatorial, retorna assintomático, nega dispneia, dor torácica, palpitações ou qualquer outro sintoma, apresenta piora da fração de ejeção do ventrículo esquerdo (FEVE) na ecocardiografia (FEVE 30%).
Com base nas diretrizes atuais, diante da mudança da função ventricular, qual opção terapêutica está indicada?
Provas
Considere o caso clínico a seguir, para responder à questão.
Paciente de 64 anos, sexo masculino, portador de diabetes melitus há 32 anos, Hipertensão arterial, dislipidemia e Doença arterial coronariana crônica com infarto agudo do miocárdio há 11 anos, com angioplastia de resgate com 36h do evento agudo. Em uso de Metformina 1 000 mg 2x/dia, linagliptina 5 mg/dia, Atorvastatina 40 mg/dia, Losartana 50 mg 2x/dia, Clortalidona 25 mg/dia, AAS 100 mg/dia. Durante consulta ambulatorial, retorna assintomático, nega dispneia, dor torácica, palpitações ou qualquer outro sintoma, apresenta piora da fração de ejeção do ventrículo esquerdo (FEVE) na ecocardiografia (FEVE 30%).
Na investigação etiológica, o exame complementar que pode orientar a conduta subsequente seria:
Provas
Mulher de 67 anos é avaliada em consulta de acompanhamento por insuficiência cardíaca com fração de ejeção reduzida. Ela relata dispneia ao carregar mantimentos do carro ou subir uma ladeira. Ela não tem outros sintomas. Os medicamentos em uso são carvedilol (12,5 mg/dia), espironolactona (25 mg/dia), enalapril (40 mg/dia), furosemida (40 mg/dia) e dapagliflozina. Ao exame físico: pressão arterial: 108 x 72 mmHg, frequência cardíaca: 58 bpm; o restante do exame não é digno de nota. Os estudos laboratoriais revelam um nível de creatinina sérica de 1,3 mg/dL e eletrólitos normais. O ecocardiograma prévio mostrou uma fração de ejeção do ventrículo esquerdo de 37%. Nesse momento, a conduta correta é
Provas
Mulher de 45 anos com antecedentes de esclerodermia, tireoidite autoimune e artrite reumatoide é atendida com quadro de lesões em couro cabeludo. A paciente notou duas áreas com perda completa de cabelo no lado direito do couro cabeludo, que eram pequenas inicialmente, mas cresceram gradualmente nos 10 dias anteriores à consulta. A paciente relata uma sensação “espinhosa” nas áreas de queda de cabelo. Ao exame físico: os sinais vitais são normais; áreas de alopecia de 5 cm x 3 cm no couro cabeludo parietal direito e área de 3 cm x 1,5 cm em região occipital; a área central das manchas de alopecia tem cabelos escassos e folículos capilares visíveis; cabelos ralos são notados na periferia das placas de alopecia.
A principal hipótese diagnóstica é
Provas
Caderno Container