Foram encontradas 428 questões.
No Brasil, são escassos os dados precisos sobre a prevalência da osteoporose e sobre a incidência de quedas e fraturas, assim como dados acerca de custos relacionados a esses eventos. As consequências físicas e psicológicas relacionadas à osteoporose, conforme o Manual Brasileiro de Osteoporose, incluem
Provas
Os testes rápidos para diagnóstico do HIV são desenvolvidos para detectar anticorpos anti-HIV em até 30 minutos, diferentemente do imunoensaio, que pode levar até 4 horas. Eles conseguem ser tão eficientes porque são dispositivos otimizados para acelerar a interação antígeno/anticorpo, por isso são ideais para fornecer resultados no mesmo dia em uma variedade de situações e de locais. Acerca desse assunto, assinale a alternativa que apresenta as situações em que é recomendada a utilização de testes rápidos pelos departamentos de DST, AIDS e hepatites virais.
Provas
Um paciente de 43 anos de idade, em tratamento por dor crônica, é encontrado descorado em sua casa ao lado de embalagens vazias de comprimidos. Ao exame físico, o paciente apresenta-se letárgico, com abertura ocular ao estímulo doloroso; ele balbucia palavras quando estimulado e apresenta-se com miose bilateral.
Nesse caso hipotético, o antídoto mais eficaz seria
Provas
Um paciente de 73 anos de idade, com diagnóstico prévio de insuficiência cardíaca, hipovitaminose D, anemia e dor lombar, em uso domiciliar de enalapril, carvedilol, AAS, vitamina D 2.000 UI, comparece ao pronto-socorro com queixa de piora da dor e de dispneia. Apresenta os seguintes resultados aos exames laboratoriais: Hb = 8 g/dL; Cr = 3 mg/dL; Ur = 100 mg/dL; Ca total = 19 mg/dL; AST = 45 U/L, ALT = 38 U/L e eletroforese de proteínas evidenciada na imagem a seguir.

Com base nesse caso clínico, assinale a alternativa correta.
Provas
Um paciente jovem, em tratamento para osteomielite por bactéria multirresistente com vancomicina, na segunda semana do início da vancomicina, evoluiu com aumento de transaminases acima de 5 vezes o valor de normalidade, com erupção cutânea importante, principalmente na face, com linfonodomegalia acima de 2 cm. O hemograma apresentou eosinofilia importante e linfocitose atípica. Foi realizado PCR para detectar covid-19, que resultou negativo; foi, então, suspensa vancomicina com melhora gradual de sintomas. Nesse caso clínico, o diagnóstico mais provável do paciente é
Provas
Um paciente CAP de 56 anos de idade, tabagista (87 anos-maço), já diagnosticado com DPOC, comparece ao pronto-socorro com piora de padrão de dispneia, associada à piora da secreção que ele normalmente apresenta, e febre aferida. A partir dessa situação hipotética e dos assuntos por ela suscitados, assinale a alternativa que apresenta a definição de exacerbação de DPOC, segundo o consenso GOLD 2023.
Provas
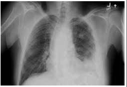
Uma paciente CLA, feminina, de 67 anos de idade, apresenta quadro de pneumonia bacteriana adquirida na comunidade. Durante internação para tratamento com antibioticoterapia endovenosa, evoluiu com manutenção de quadro inicial de dor pleurítica e com febre no 3.º dia de internação; seus exames laboratoriais estão sem alterações. Foram feitos exames complementares, conforme se vê na imagem a seguir. Foi realizada toracocentese, a qual evidenciou líquido purulento, pH < 7,20; DHL > 1.000 UI/L; e glicose < 40 mg/dL com bactérias presentes e cultura positiva.

Com base nesse caso hipotético, assinale a alternativa correta.
Provas
Caso clínico para questão.
Um paciente JAV, masculino, de 27 anos de idade, comparece em consulta referindo tosse produtiva há mais de três semanas com perda ponderal de 5 kg nos últimos 2 meses, pesando, atualmente, 80 kg. Apresenta febre e sudorese noturna. Teve contato íntimo com paciente com diagnóstico recente de tuberculose. O médico, então, decide solicitar uma tomografia de tórax para melhor avaliação do paciente.
Com base nessa situação hipotética e conforme Manual de Recomendações e Controle da Tuberculose no Brasil (2.a ed.), assinale a alternativa que apresenta as alterações sugestivas de tuberculose ativa que devem ser encontradas na tomografia computadorizada de tórax.
Provas
Em relação às especificidades da hipertensão arterial sistêmica em pessoas idosas, assinale a alternativa correta.
Provas
Em relação ao diagnóstico diferencial de síndrome demencial, assinale a alternativa incorreta.
Provas
Caderno Container