Magna Concursos

Foram encontradas 810 questões.

3685504 Ano: 2025
Disciplina: Medicina
Banca: FUVEST
Orgão: USP
Provas:

Homem, 58 anos de idade, assintomático e sem comorbidades conhecidas, procura atendimento com anotações de medidas pressóricas domiciliares com aparelho digital de punho, conforme tabela a seguir:

Medidas pressóricas (mmHg)
  Dia 1 Dia 2 Dia 3 Dia 4
Manhã 146x92 140x82 144x84 132x76
Tarde 140x88 140x80 136x80 140x80

Relata sentir-se muito cansado e sonolento pela manhã. É sedentário. Nega tabagismo ou uso de álcool. Sua esposa relata que ele ronca à noite. Ao exame físico, apresnetou PA de 126x80 mmHg; FC de 72 bpm; peso de 88 kg; altura de 170 cm; cintura abdominal de 106 cm. Considerando o caso apresentado, qual é o próximo passo na conduta para o paciente?

 

Provas

Questão presente nas seguintes provas
3685503 Ano: 2025
Disciplina: Medicina
Banca: FUVEST
Orgão: USP
Provas:
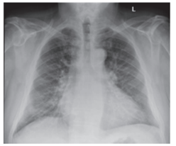
Homem 67 anos de idade, portador de hipertensão arterial e diabetes melito tipo II, apresentando tosse seca e dispneia progressiva nos últimos três meses. Atualmente, tem dispneia para subir pequenos aclives. Relata ortopneia e edema em membros inferiores. Ao exame físico, apresentou PA de 150x90 mmHg, FC de 95 bpm, TEC < 2 segundos. Estertores finos basais bilateralmente e discreto edema maleolar. Eletrocardiograma: ritmo sinusal e sobrecarga ventricular esquerda. Ecocardiograma: fração de ejeção do ventrículo esquerdo 30%, hipocinesia difusa. Radiografia de tórax apresentada a seguir:

Enunciado 3685503-1

Em relação ao caso descrito e à imagem apresentada, qual deve ser a conduta terapêutica neste momento?
 

Provas

Questão presente nas seguintes provas
3685502 Ano: 2025
Disciplina: Medicina
Banca: FUVEST
Orgão: USP
Provas:
Homem, 20 anos de idade, apresenta queixa de edema iniciado há dois meses. Refere que o edema iniciou em região periorbitária bilateral, ao acordar, “parecendo uma alergia”. Posteriormente, evoluiu para os membros inferiores, principalmente ao fim do dia, e depois tomou o corpo todo. Nega disúria, oligúria ou hematúria. Teve ganho de 10 kg no período. Ao exame físico, apresentou bom estado geral, eupneico, anictérico, em anasarca. PA de 120x80 mmHg, FC de 96 bpm, FR de 18 irpm, afebril. Edema periorbitário bilateral. Ausência de estase jugular. Ausculta cardíaca e pulmonar normais. Abdome sem visceromegalias, com edema de parede. Edema de membros inferiores até raiz de coxa, frio, mole, indolor e simétrico. Em relação ao caso descrito, assinale a alternativa que apresenta o diagnóstico mais provável.
 

Provas

Questão presente nas seguintes provas
3685501 Ano: 2025
Disciplina: Medicina
Banca: FUVEST
Orgão: USP
Provas:
Homem, 66 anos de idade, apresenta hipertensão arterial e é tabagista (50 anos-maço). Há cinco dias, permanece internado por infarto agudo do miocárdio de parede inferior. Inicialmente, submetido, com sucesso, à trombólise e, posteriormente, realizado angioplastia na artéria coronária direita que apresentava obstrução de 90%. Ecocardiograma, após evento, mostrou fração de ejeção de 51% e hipocinesia em parede inferior do ventrículo esquerdo. Ao exame clínico, apresentou PA de 112x70 mmHg, FC de 66 bpm. Encontra-se em programação de alta hospitalar. Em relação ao caso descrito, assinale a alternativa correta.
 

Provas

Questão presente nas seguintes provas
Rain Is Coming to Burning Los Angeles and Will Bring Its Own Risks
    Rain is forecast to begin as soon as Saturday afternoon and to continue as late as Monday evening, says meteorologist Kristan Lund of the National Weather Service’s Los Angeles office. The area desperately needs the precipitation, but experts are warily monitoring the situation because rain poses its own risks in recently burned areas— most notably the potential occurrence of mudslides and similar hazards. “Rain is good because we’ve been so dry,” Lund says. “However, if we get heavier rain rates or we get the thunderstorms, it’s actually a lot more dangerous because you can get debris flows.”
    Fires do a couple of different things to the landscape that can increase the risk of burned material, soil and detritus hurtling out of control. When fires burn hot or long enough, they leave an invisible layer of waxy material just under the surface of the ground. This develops from decomposing leaves and other organic material, which contain naturally hydrophobic or water-repellent compounds. Fire can vaporize this litter, and the resulting gas seeps into the upper soil—where it quickly cools and condenses, forming the slippery layer.
    When rain falls on ground that has been affected by this phenomenon, it can’t sink beyond the hydrophobic layer— so the water flows away, often hauling debris with it. “All of the trees, branches, everything that’s been burned—unfortunately, if it rains, that stuff just floats,” Lund says. “It’s really concerning.” Even a fire that isn’t severe enough to create a hydrophobic layer can still cause debris flows, says Danielle Touma, a climate scientist at the University of Texas at Austin. Under normal conditions, trees and other plants usually trap some rain above the surface, slowing the water’s downward journey. But on freshly burned land there’s much less greenery to interfere; all the rain immediately hits the ground. [...]
    Fortunately, the rain should also help firefighters tame the blazes that remain active. The largest, the Palisades Fire, is currently 77 percent contained. The second largest, the Eaton Fire, is 95 percent contained. The Hughes Fire is third largest and only 56 percent contained. A fire can be fully contained but still burning. The containment percentage refers to the amount of the perimeter that has barriers that firefighters expect will prevent further spread.
Scientific American. January 27th, 2025. Adaptado.
Na oração "[...] the rain should also help firefighters tame the blazes that remain active. [...]" (4º parágrafo) o uso do verbo modal should indica
 

Provas

Questão presente nas seguintes provas
Mal o CEO da Meta, Mark Zuckerberg, anunciou as mudanças nas políticas de moderação de suas plataformas, muitos educadores, comunicadores e jornalistas presentes nos diferentes grupos dos quais faço parte começaram a questionar a eficácia da Educação Midiática. O que podemos diante de um Musk e um Zuckerberg? De que adianta educar para a checagem de notícias se agora “abriram-se as porteiras” e nenhum de nós vai dar conta de distinguir o que é verdadeiro ou falso, de remover conteúdos agressivos, preconceituosos, de construir referenciais seguros para obtermos informações íntegras e confiáveis? É enxugar gelo, nadar contra a corrente, melhor a gente se preparar para viver no caos, diziam alguns, já ameaçando sair de vez das redes, boicotar a Meta, banir o digital de vez do seu cotidiano. Entendo a Educação Midiática como um importante e potente elemento para que possamos lidar com todos os desafios presentes no mundo digital – e de resto, no mundo real, que o reflete. Ela é uma alternativa viável e segura que todos nós, que desejamos continuar a viver civilizadamente em sociedade, podemos tomar em nossas mãos. Se as chamadas big techs nos abandonam à própria sorte, cabe a cada um de nós entender qual é o nosso papel nesse ecossistema.
Adaptado de: Januária Cristina Alves. “Novas diretrizes da Meta: será o fim da Educação Midiática?” Nexo Jornal. 16 de janeiro de 2025. 
No trecho, e em relação ao contexto em que se insere, “o mundo real, que o reflete”, a oração após a vírgula tem a função de
 

Provas

Questão presente nas seguintes provas
    Cuidar da nossa saúde às vezes lembra aquela olhadela que damos na cabine do avião a caminho de nosso assento. Por todo lado só vemos coisas complicadas: telas, indicadores, alavancas, luzes piscantes, manivelas, interruptores, mais alavancas... botões do lado esquerdo, botões do lado direito, botões no teto (não, fala sério, Por que eles põem botões no teto?). Desviamos o olhar, agradecidos pelo fato de os pilotos saberem o que estão fazendo. Como passageiros tudo que nos importa é se o avião vai ficar no céu. Quando a questão é nosso corpo, somos nós os passageiros ignorantes. Porém - reviravolta na história -, os pilotos também somos nós. E quando não sabemos como nosso corpo funciona, é como se estivéssemos em voo cego. Nós sabemos como queremos nos sentir. Queremos acordar com um sorriso, animados e empolgados para o novo dia. Queremos ter uma alegria no andar, livres de qualquer dor. Queremos passar momentos agradáveis com nossa família, com uma sensação de gratidão positividade. Mas pode ser complicado descobrir como chegar lá. São tantos botões que nos sentimos esmagados. O que fazer? Por onde começar? Temos que começar pela glicose. Por quê? Porque ela é a alavanca da cabine com o maior custo-benefício. É a mais fácil de compreender (graças aos monitores contínuos de glicose), afeta instantaneamente nossas sensações (porque influencia nossa fome e nosso humor), e muita coisa passa a se encaixar a partir do momento em que conseguimos controlá-la.
Adaptado de Inchauspé, Jessie. A revolução da glicose: equilibre os níveis de açúcar no sangue e mude sua saúde e sua vida. Trad. André Fontenelle. Objetiva, 2022.
O texto se organiza essencialmente por meio de:
 

Provas

Questão presente nas seguintes provas
    Cuidar da nossa saúde às vezes lembra aquela olhadela que damos na cabine do avião a caminho de nosso assento. Por todo lado só vemos coisas complicadas: telas, indicadores, alavancas, luzes piscantes, manivelas, interruptores, mais alavancas... botões do lado esquerdo, botões do lado direito, botões no teto (não, fala sério, Por que eles põem botões no teto?). Desviamos o olhar, agradecidos pelo fato de os pilotos saberem o que estão fazendo. Como passageiros tudo que nos importa é se o avião vai ficar no céu. Quando a questão é nosso corpo, somos nós os passageiros ignorantes. Porém - reviravolta na história -, os pilotos também somos nós. E quando não sabemos como nosso corpo funciona, é como se estivéssemos em voo cego. Nós sabemos como queremos nos sentir. Queremos acordar com um sorriso, animados e empolgados para o novo dia. Queremos ter uma alegria no andar, livres de qualquer dor. Queremos passar momentos agradáveis com nossa família, com uma sensação de gratidão positividade. Mas pode ser complicado descobrir como chegar lá. São tantos botões que nos sentimos esmagados. O que fazer? Por onde começar? Temos que começar pela glicose. Por quê? Porque ela é a alavanca da cabine com o maior custo-benefício. É a mais fácil de compreender (graças aos monitores contínuos de glicose), afeta instantaneamente nossas sensações (porque influencia nossa fome e nosso humor), e muita coisa passa a se encaixar a partir do momento em que conseguimos controlá-la.
Adaptado de Inchauspé, Jessie. A revolução da glicose: equilibre os níveis de açúcar no sangue e mude sua saúde e sua vida. Trad. André Fontenelle. Objetiva, 2022.
No trecho “Como passageiros tudo que nos importa é se o avião vai ficar no céu”, a inclusão do termo “o” antes de “que” tem como efeito:
 

Provas

Questão presente nas seguintes provas
    Cuidar da nossa saúde às vezes lembra aquela olhadela que damos na cabine do avião a caminho de nosso assento. Por todo lado só vemos coisas complicadas: telas, indicadores, alavancas, luzes piscantes, manivelas, interruptores, mais alavancas... botões do lado esquerdo, botões do lado direito, botões no teto (não, fala sério, Por que eles põem botões no teto?). Desviamos o olhar, agradecidos pelo fato de os pilotos saberem o que estão fazendo. Como passageiros tudo que nos importa é se o avião vai ficar no céu. Quando a questão é nosso corpo, somos nós os passageiros ignorantes. Porém - reviravolta na história -, os pilotos também somos nós. E quando não sabemos como nosso corpo funciona, é como se estivéssemos em voo cego. Nós sabemos como queremos nos sentir. Queremos acordar com um sorriso, animados e empolgados para o novo dia. Queremos ter uma alegria no andar, livres de qualquer dor. Queremos passar momentos agradáveis com nossa família, com uma sensação de gratidão positividade. Mas pode ser complicado descobrir como chegar lá. São tantos botões que nos sentimos esmagados. O que fazer? Por onde começar? Temos que começar pela glicose. Por quê? Porque ela é a alavanca da cabine com o maior custo-benefício. É a mais fácil de compreender (graças aos monitores contínuos de glicose), afeta instantaneamente nossas sensações (porque influencia nossa fome e nosso humor), e muita coisa passa a se encaixar a partir do momento em que conseguimos controlá-la.
Adaptado de Inchauspé, Jessie. A revolução da glicose: equilibre os níveis de açúcar no sangue e mude sua saúde e sua vida. Trad. André Fontenelle. Objetiva, 2022.
No texto, a relação entre a complexidade da cabine de um avião e a administração da saúde humana evidencia
 

Provas

Questão presente nas seguintes provas
3685495 Ano: 2025
Disciplina: Português
Banca: FUVEST
Orgão: USP
Provas:
Em silêncio
    Precisava de silêncio para pensar, ordenar sua vida e rumos. Juntou poucas coisas, navegou até uma ilha deserta. Mas a gritaria das aves marinhas fundia-se com o farfalhar do vento nas palmeiras, e quando ambos se calavam, batiam inevitáveis as ondas contra as pedras. Silêncio não havia. Tomou suas coisas, voltou ao continente, recolheu-se numa gruta em montanha distante. Embora isolado, logo se viu rodeado de ruídos, pequenos alguns, minúsculos outros, que o aparente silêncio circundante agigantava. Era o gotejar do excesso de umidade, o esvoejar dos morcegos ao anoitecer, o zumbir de um ou outro inseto, um gorjear lá fora, um escavar cá dentro, um rastejar, e o ronco majestoso dos trovões, o estalar dos relâmpagos. Novamente arrebanhou seus poucos pertences. E desceu a montanha, regressou à cidade. As chaves da sua casa tilintavam no bolso, não atendeu ao apelo. Tomou ônibus e metrô, caminhou até a praça mais central. Ali, onde tantos passavam e as buzinas dos carros e os apitos dos guardas e o gritar dos ambulantes e o chamado das sirenes se entrecruzavam, sentou-se. Assim como havia ignorado as chaves, ignorou os sons todos que lhe atingiam a cabeça, esqueceu os ouvidos. E, vagarosamente, começou a descida em seu silêncio interior.
Marina Colasanti. Hora de alimentar serpentes. Global, 2013 
O termo “que", presente no trecho “que o aparente silêncio circundante agigantava”, estabelece uma relação com:
 

Provas

Questão presente nas seguintes provas