Foram encontradas 50 questões.
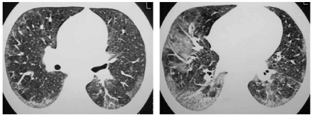
Uma paciente do sexo feminino, 33 anos, procurou pneumologista com história de dispneia progressiva há dois anos, atualmente para subir qualquer aclive; tosse seca frequente há seis meses. Tabagista ativa desde os quatorze anos de idade (carga tabagística: 35 maços-ano). Negava asma e exposições ambientais ou ocupacionais relevantes. Bancária desde os 23 anos de idade, trabalhando no setor de informática. Exame físico: bom estado geral; frequência respiratória = 20 respirações por minuto; pulso = 88 bpm (batimentos por minuto); SpO, (saturação periférica de oxigênio)=92% em ar ambiente; na ausculta pulmonar: estertores finos bibasilares. Prova de função pulmonar: CVF (capacidade vital forçada)=58%; VEF1(volume expiratório forçado no primeiro segundo)=60%; difusão pulmonar para o monóxido de carbono=55%. Tomografia de alta resolução do tórax (figura 1 — abaixo). Hemograma completo: normal. Investigação para doença do colágeno negativa. Feito biopsia pulmonar cirúrgica que mostrou espessamento alveolar septal difuso, hiperplasia de pneumócitos do tipo II e preenchimento intra-alveolar intenso de macrófagos pigmentados. Dentre as opções abaixo, qual o diagnóstico mais provável.

Assinale a alternativa correta.
Provas
O pneumotórax espontâneo é definido como coleção súbita de ar na cavidade pleural de aparecimento espontâneo. Leia com atenção as afirmativas abaixo, as quais descrevem características epidemiológicas do pneumotórax espontâneo e assinale a alternativa correta.
I. Predomina em mulheres, na faixa etária dos 20 aos 30 anos.
II. A maioria dos casos ocorre após atividade física vigorosa.
III. Pouco mais frequente no hemotórax direito.
IV. Predileção por indivíduos de porte leptossômico.
Estão corretas as afirmativas.
Provas
A tuberculose pleural é a forma de tuberculose extrapulmonar mais comum em indivíduos HIV negativos. As afirmativas abaixo descrevem algumas características do liquido pleural (LP), que juntas podem ajudar no diagnóstico da tuberculose pleural. Assinale a opção correta.
Provas
As afirmativas abaixo comentam sobre o quadro clínico, diagnóstico e avaliação da gravidade da DPOC (doença pulmonar obstrutiva crônica) no momento da exacerbação dos sintomas. Leia - as e assinale a alternativa correta.
I. Mais de 50% dos pacientes com exacerbação da DPOC apresentam febre.
II. Para pacientes internados por exacerbação da DPOC, a medida da SpO2 (saturação periférica de oxigênio), através da oximetria de pulso, é suficiente para a avaliação da troca gasosa.
III. Quanto ao exame de escarro, a presença de expectoração purulenta é suficiente para indicar o uso de antibiótico em pacientes portadores de DPOC que sofrem exacerbação de seus sintomas.
IV. A utilização de ventilação mecânica não invasiva em pacientes com insuficiência respiratória devido à exacerbação da DPOC está associada à redução da hiperinsuflação pulmonar e do trabalho ventilatório, com consequente redução da PaCO2 (pressão arterial de dióxido de carbono) e estabilização do pH arterial.
Estão corretas as afirmativas:
Provas
O tratamento de pacientes com DPOC (doença pulmonar obstrutiva crônica) visa controlar os sintomas, aumentar a tolerância para os exercícios, impedir a progressão da doença, melhorar a qualidade de vida e diminuir a mortalidade. A respeito do tratamento farmacológico e não farmacológico da DPOC, leia as sentenças abaixo e assinale a opção correta.
I. A cessação do tabagismo é considerada a principal intervenção para qualquer paciente portador de DPOC, a despeito da gravidade da doença.
II. Todo paciente com DPOC parece beneficiar-se de reabilitação e manutenção de atividade física.
III. Monoterapia com corticoide inalatório não é indicada.
IV. Apesar dos frequentes efeitos colaterais, a teofilina é bastante eficaz nos pacientes que não respondem com a combinação de broncodilatador de longa ação e corticoide inalados.
Estão corretas as afirmativas:
Provas
O Decreto Presidencial nº 7.508, de 28 de junho de 2011 regulamenta a Lei nº 8.080, de 19 de setembro de 1990, para dispor sobre a organização do Sistema Único de Saúde - SUS, o planejamento da saúde, a assistência à saúde e a articulação interfederativa, e dá outras providências. Considerando esse decreto, assinale a alternativa incorreta:
Provas
Sobre o controle social no SUS, assinale a alternativa incorreta:
Provas
Considerando os determinantes sociais de saúde e a ocorrência de hipertensão arterial, assinale a alternativa incorreta:
Provas
Um município de pequeno porte decidiu que durante a campanha anual de vacinação contra a gripe, estaria disponível aos pacientes a dosagem de glicemia e aferição de pressão arterial. A medida foi duramente criticada pelos vereadores de oposição que a caracterizaram como desperdício de recursos e desvio do objetivo da vacinação. Em sua opinião:
Provas
Considerando a informação em saúde e os sistemas de informação em saúde, assinale a alternativa incorreta:
Provas
Caderno Container